Cargando pagina por favor espere...

  Inicio   |   Contactar   |   Aviso legal  
     

Caso 56

     
 

Autor:

 

Mª Rocío Valverde Vázquez

 

 

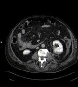
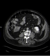
No se encuentra extravasado de contraste en la fase arterial por lo que se descarta lesión vascular. Existe una alteración de la anatomía normal del polo inferior del riñón izquierdo con solución de continuidad del parénquima (laceración) y una imagen en la parte posterior del mismo compatible con hematoma.

Haz click en las imágenes para verlas ampliadas