Cargando pagina por favor espere...

  Inicio   |   Contactar   |   Aviso legal  
     

Caso 27

     
 

Autor:

 

María José Abad Gomariz/Claudia Sandoval Torres

 

 

DIAGNÓSTICO FINAL

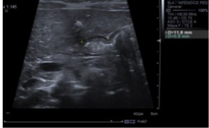
DIAGNÓSTICO FINAL: ESTENOSIS HIPERTRÓFICA DE PÍLORO

COMENTARIO:

La EHP es una hipertrofia e hiperplasia de las fibras circulares del píloro.

Causa frecuente de obstrucción gástrica en la infancia (3/1000 RN vivos). Niños 4-5 veces más frecuente que en niñas.

A partir de 2-8 semanas de vida. Ocurre en periodo postnatal 1-3 meses.

Antecedentes familiares en 4-5%. Mayor incidencia en Suecia. Niños a término

CLÍNICA: Vómitos no biliosos proyectivos que pueden progresar a lo largo de semanas y mínima distensión abdominal. EF: oliva en 80%.

Diagnóstico ecográfico: canal pilórico > 16 mm de longitud y capa muscular > 3 mm de espesor.

Haz click en las imágenes para verlas ampliadas

 

 

BIBLIOGRAFÍA

1.

http://scielo.sld.cu/pdf/ped/v81n3/ped08309.pdf

2.

http://www.medigraphic.com/pdfs/gastro/ge-2007/ge072h.pdf

3.

http://www.scielo.org.ar/scielo.php?script=sci_arttext&pid=S0325-00752006000200016

4.

http://www.imss.gob.mx/sites/all/statics/guiasclinicas/330GRR.pdf

5.

http://www.revmatanzas.sld.cu/revista%20medica/ano%202007/vol2%202007/tema16.htm

Finalizar