Cargando pagina por favor espere...

  Inicio   |   Contactar   |   Aviso legal  
     

Caso 62

     
 

Autor:

 

Alberto Sola Muñoz

 

 

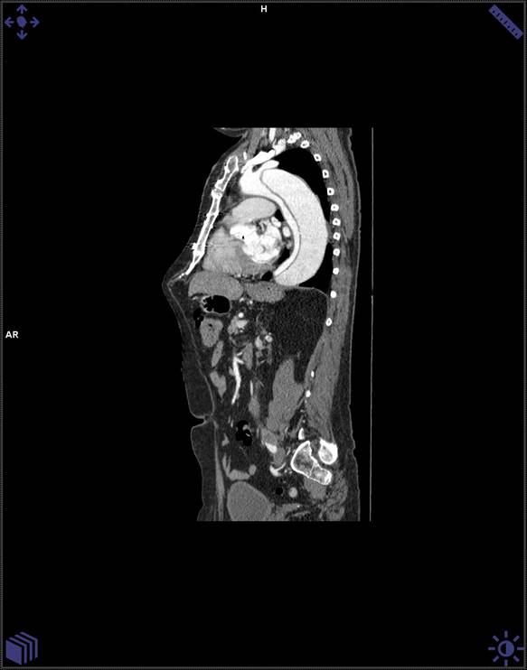
La TC es la técnica de imagen diagnóstica más frecuentemente empleada en los pacientes en los que se sospecha disección aórtica. Sus valores de sensibilidad y especificidad superan el 90 y el 85%, respectivamente. Entre sus principales virtudes están el poder detectar fácilmente la localización de la disección aórtica, si están o no implicadas las ramas arteriales y la existencia de los denominados «signos de emergencia», como puede ser la existencia de sangre en el mediastino, que implican una necesidad urgente de tratamiento quirúrgico para el paciente.

Haz click en las imágenes para verlas ampliadas