Cargando pagina por favor espere...

  Inicio   |   Contactar   |   Aviso legal  
     

Caso 51

     
 

Autor:

 

Nerea Peñalver Yepes / Alicia Pérez Gonzalez / Paula Pérez González

 

 

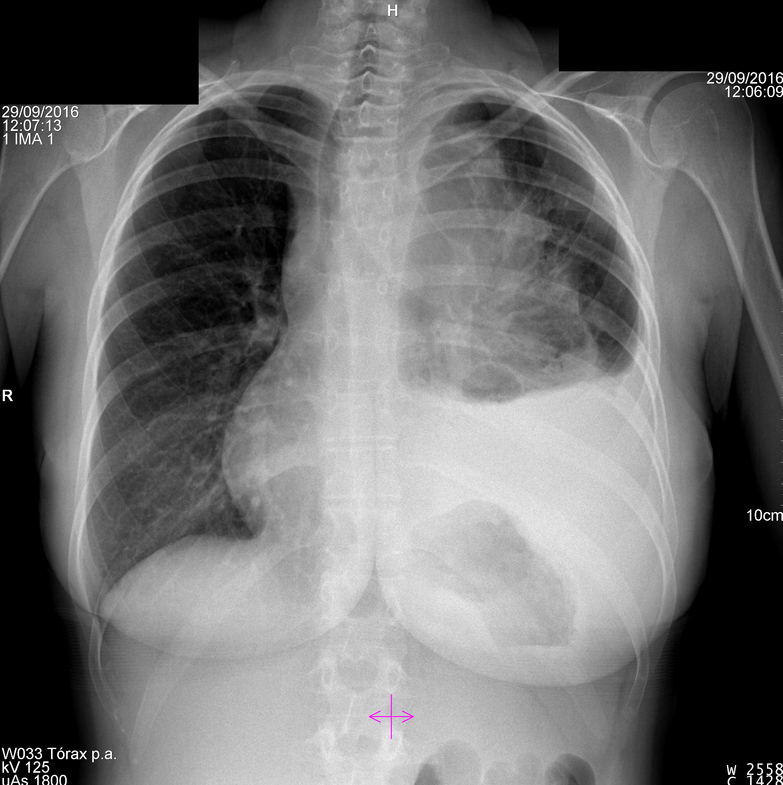
La siguiente prueba a realizar, el día 29 de septiembre de 2016, es una radiografía simple de tórax para evaluar otras posibles patologías, puesto que presenta menor radiación que un TAC. A continuación se establece el diagnóstico, tratamiento y se le cita de nuevo en abril de 2017, ya no estará embarazada, se le realiza una radiografía simple de tórax, para evaluar la respuesta al tratamiento (cirugía, radioterapia y quimiterapia).

Haz click en las imágenes para verlas ampliadas

 

¿Qué prueba diagnóstica realizaría a continuación?