Cargando pagina por favor espere...

  Inicio   |   Contactar   |   Aviso legal  
     

Caso 48

     
 

Autor:

 

M. Ángeles Cerezuela Abarca y Carmen Miquel López

 

 

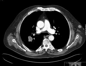
La exploración por TC del tórax se utiliza para examinar con más profundidad anomalías encontradas en rayos X convencionales de tórax, además puede detectar lesiones que pasan desapercibidas y es fundamental para una correcta estadificación. Con ella podemos ver la situación exacta de la lesión, su alcance, pronóstico y opciones de tratamiento.2

Confirmamos que se trata de un nódulo pulmonar para hiliar de 3cm en el segmento posterior del lóbulo superior derecho, homogéneo y de contornos lobulados.

Haz click en las imágenes para verlas ampliadas