Cargando pagina por favor espere...

  Inicio   |   Contactar   |   Aviso legal  
     

Caso 39

     
 

Autor:

 

Nerea Peñalver Yepes/ Alicia Pérez González/ Paula Pérez González

 

 

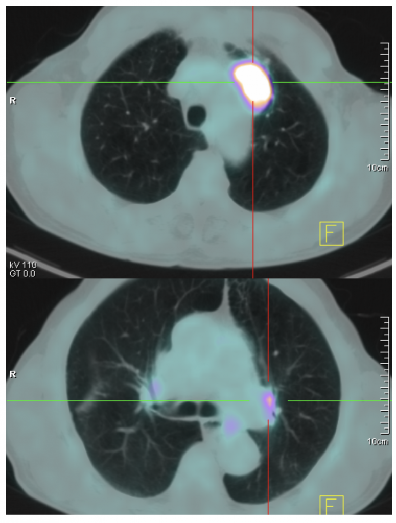
Se realiza PET-TAC para estadiaje porque en pacientes candidatos a tratamiento radical, esta indicada la realización de PET o PET-TAC para evaluar el mediastino y posibles metástasis extratorácicas.

PET-TAC es la abreviatura de tomografía por emisión de positrones-tomografía axial computarizada. Se trata de una técnica de medicina nuclear que nos permite obtener imágenes de la actividad metabólica de nuestras células gracias a un radiotrazador radiactivo que en este caso es la glucosa marcada con Flúor 18. La importancia de la técnica radica en que nos permite observar zonas con un consumo elevado de glucosa como son los tumores por ello nos permite valorar la presencia de metástasis de un tumor primario o evaluar la eficacia de un tratamiento quimioterápico o radioterápico.

En nuestro caso observamos una masa pulmonar hipercaptante que afecta al cayado aórtico en la primera imagen y en la segunda podemos ver hipercaptación en ambos hilos pulmonares que tienen una forma redondeada u ovalada por lo que se trata de adenopatías biliares afectadas por el tumor primario.

Haz click en las imágenes para verlas ampliadas