Cargando pagina por favor espere...

  Inicio   |   Contactar   |   Aviso legal  
     

Caso 29

     
 

Autor:

 

Inmaculada Sandoval Guirao

 

 

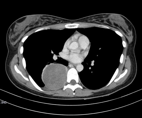
Una masa extrapulmonar sólo se puede confirmar con la radiografía cuando hay una lesión costal, cosa que no ocurre con este paciente, por lo que necesitará confirmarse la lesión con una TC. Además, la radiografía no es suficiente para localizar exactamente dónde se encuentra la lesión. Para ello, también usamos TC, con el que delimitamos mejor la lesión y nos sirve para evaluar las lesiones de la pared torácica y de la pared pleural.

La TC es una técnica disponible, económica y rápida que permite valorar el tórax con gran eficacia.

Haz click en las imágenes para verlas ampliadas