Cargando pagina por favor espere...

  Inicio   |   Contactar   |   Aviso legal  
     

Caso 27

     
 

Autor:

 

Juan Andrés González García / Andrés Campuzano Melgarejo

 

 

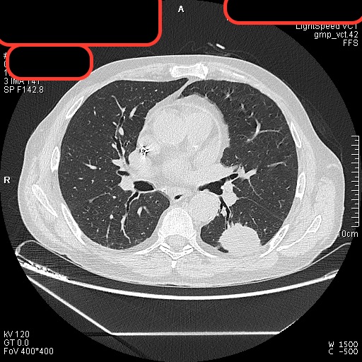
Las características de la masas se estudian mejor mediante la TC. Nos va a permitir definir el tamaño, la morfología, la posición, los bordes, cavitaciones, calcificaciones, etc para propiciar un buen diagnóstico. Además la TC es capaz de detectar nódulos y masa que no aparecen en la Rx de tórax, adenopatías mediastínicas, lesiones extraparenquimatosas y ayuda en la planificación de la biopsia o de la punción del nódulo. La TC se solicita también para valorar la respuesta al tratamiento y la progresión de la enfermedad.

Haz click en las imágenes para verlas ampliadas