Cargando pagina por favor espere...

  Inicio   |   Contactar   |   Aviso legal  
     

Caso 09

     
 

Autor:

 

Juan Emilio Ortigosa Gallego

 

 

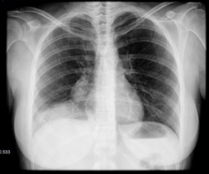
La radiografía simple de tórax debe ser siempre el estudio inicial en todos los pacientes con sospecha de patología torácica, debido a la gran cantidad de información que nos proporciona para el diagnóstico de enfermedades respiratorias, y especialmente por tratarse de una prueba radiológica fácil, barata, rápida, reproducible y que utiliza poca radiación.

Haz click en las imágenes para verlas ampliadas