Cargando pagina por favor espere...

  Inicio   |   Contactar   |   Aviso legal  
     

Caso 04

     
 

Autor:

 

Josefina Hernández Ruiz

 

 

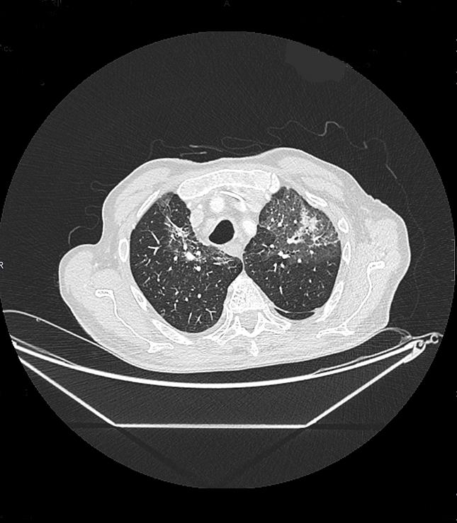
Como prueba complementaria realizaremos TC del tórax porque nos permite examinar anomalías encontradas en rx de tórax, ayuda a diagnosticar las causas de signos o síntomas clínicos de enfermedades de tórax (en este caso, fiebre) y evalúa las posibles lesiones en el tórax, incluyendo el corazón, los vasos sanguíneos, los pulmones, las costillas y la columna vertebral.

No sería útil la resonancia magnética pues no reconoce cambios ligeros en el tejido pulmonar.

Tampoco solicitaríamos una ecografía, solo en casos muy específicos, una vez diagnosticada la neumonía, para detectar derrame pleural paraneumónico y abscesos intrapulmonares, o en caso de pacientes especialmente susceptibles a la radiación, como los niños y las embarazadas.

Haz click en las imágenes para verlas ampliadas