Cargando pagina por favor espere...

  Inicio   |   Contactar   |   Aviso legal  
     

Caso 37

     
 

Autor:

 

Carmen Caballero Guerrero

 

 

La seguridad diagnóstica de la BAG es muy alta (superior al 95%) en lesiones de baja complejidad histológica (generalmente nódulos). Permite diferenciar el carcinoma intraductal del infiltrante en la mayor parte de casos, por lo que se facilita la toma de decisiones quirúrgicas. Tiene limitaciones en lesiones complejas (microcalcificaciones, distorsiones de la arquitectura y lesiones papilares), fundamentalmente en relación con error en la toma de muestras (falsos negativos) o por infravaloración histológica en resultados de hiperplasia atípica o carcinoma intraductal 2. Se descarta la biopsia asistida por vacío porque no cumple con las indicaciones de presencia microcalcificaciones.

Haz click en las imágenes para verlas ampliadas

 

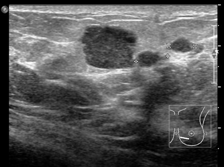
¿Cuáles son los hallazgos encontrados?

A Se observa un nódulo sólido quístico de morfología ovalada. En continuación con este nódulo se identifican otros dos nódulos con un tejido interpuesto que muestra una alteración estructural.
B Se observa un nódulo sólido quístico de morfología ovalada. En continuación con este nódulo se identifican otros dos nódulos con un tejido interpuesto que muestra una alteración estructural y que se sabe que forman parte de la misma lesión.
C Se observa un nódulo sólido quístico de morfología ovalada. En continuación con este nódulo se identifican otros dos nódulos con un tejido interpuesto que muestra una alteración estructural y que se sabe que son nódulos independientes.
D Se observa un nódulo sólido quístico de morfología ovalada. En continuación con este nódulo se identifican otros dos nódulos con un tejido interpuesto, pero podemos estar seguros de que se trata de estructuras propias del tejido mamario.