Cargando pagina por favor espere...

  Inicio   |   Contactar   |   Aviso legal  
     

Caso 29

     
 

Autor:

 

Javier López Robles

 

 

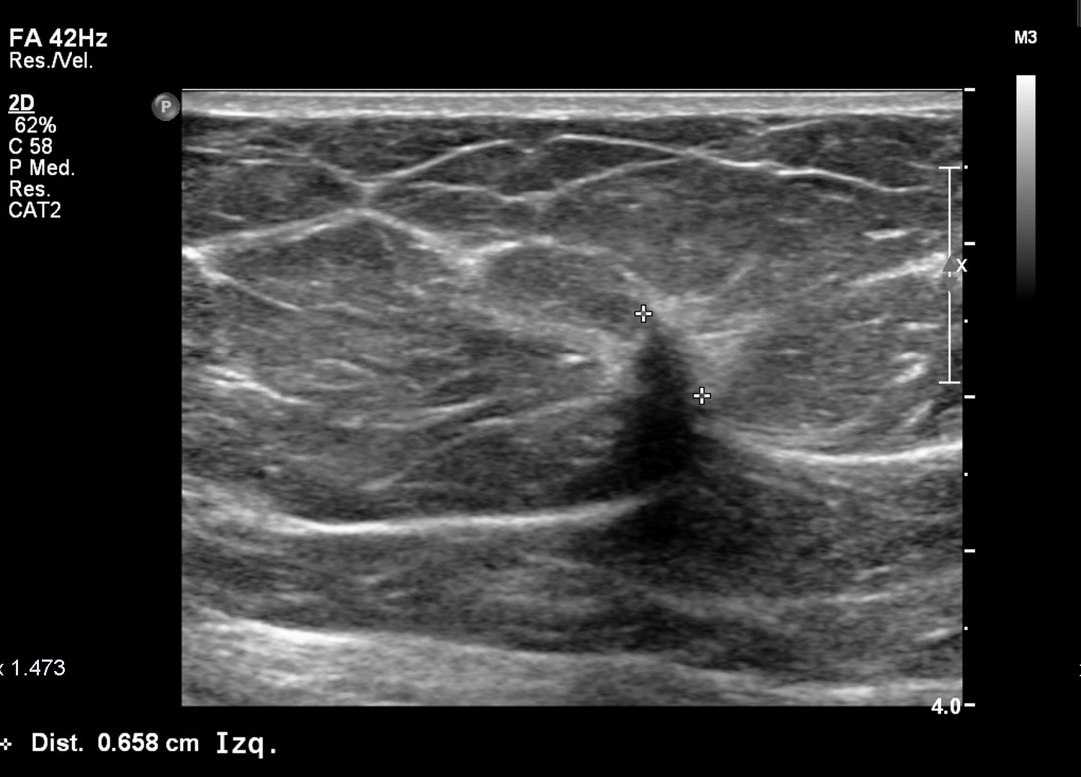
La ecografía es la técnica complementaria ideal de la mamografía pues nos permite distinguir si una lesión es de contenido líquido o de contenido sólido (esto disminuye el número de biopsias innecesarias). Además, también nos permite medir el tamaño de la lesión, algo que no se puede hacer en la mamografía, y no conlleva radiación para el paciente. Destacar que también debería realizarse una BAG pues se trata de una BIRADS 4c.

Haz click en las imágenes para verlas ampliadas