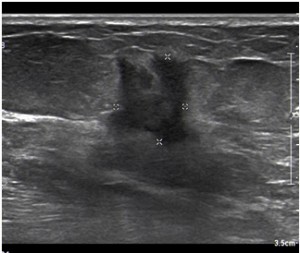
La técnica complementaria de elección es la ecografía2, que nos permite distinguir la naturaleza del nódulo, es decir, si tiene comportamiento quístico o sólido, además de sus límites, formas y ecogenicidad. Cabe decir también, que gracias a la ecografía podemos dirigir a tiempo real una biopsia por aguja gruesa (BAG), tal y como se requiere en nuestro caso.
Haz click
en las imágenes para verlas ampliadas
|