Cargando pagina por favor espere...

  Inicio   |   Contactar   |   Aviso legal  
     

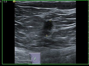
Caso 11

     
 

Autor:

 

Gianluca Caprili

 

 

La ecografìa es el metodo diagnostico de eleccior para estudiar la mama de mujeres menores de 35 años (que tienen mucho parénquima), pero se utiliza tambien despues de la mamografia si no podemos hacer un diagnostico final.

Haz click en las imágenes para verlas ampliadas