Cargando pagina por favor espere...

  Inicio   |   Contactar   |   Aviso legal  
     

Caso 29

     
 

Autor:

 

Laura Lorente Navarro

 

 

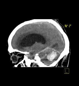
En la TC, la imagen característica de HIC es la presencia de una lesión de alta atenuación en relación con el parénquima cerebral circundante. Esta alta densidad está en relación lineal con el contenido proteico (hemoglobina) de la lesión hemorrágica y su apariencia radiológica variará con su tiempo de evolución. En una fase hiperaguda la colección está formada por plasma y células, y su apariencia en la TC es de una lesión heterogénea con una atenuación entre 30-60 UH, pudiendo resultar difícil distinguirla del cerebro normal. En los siguientes minutos u horas se forma un coágulo de fibrina, que progresivamente se retrae, expulsando el suero, aumentando su atenuación hasta las 80-100 UH, esta sería la fase en la que se encuentra el paciente que nos ocupa. Debemos tener en cuenta que estas características pueden perderse en casos de anemia grave o coagulopatías que impidan o dificulten la formación de un coágulo, pero no es el caso. En los días sucesivos se produce una progresiva lisis proteica y celular que conduce a una disminución de la atenuación que se inicia en la periferia y se extiende hacia el centro de la lesión. Entre los días 4 y 9 su atenuación es similar a la de la sustancia gris y hacia la segunda o tercera semana es similar a la de la sustancia blanca. Finalmente, puede desaparecer entre los 2 y 6 meses, o permanecer como una hendidura o experimentar una calcificación.

Podemos ver en la imagen además, que el cuarto ventrículo está colapsado por el efecto masa creado por la hemorragia.

Haz click en las imágenes para verlas ampliadas