Cargando pagina por favor espere...

  Inicio   |   Contactar   |   Aviso legal  
     

Caso 19

     
 

Autor:

 

Ignacio Sánchez Esquer

 

 

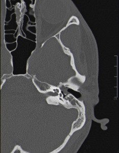
La opción correcta sería realizar al paciente un TC simple de cráneo con posterior reconstrucción coronal. Pues a parte de ser el TAC la prueba de elección para cualquier estudio de cráneo, lo es también para valorar las estructuras anatómicas del oído medio y descartar patología estructural en esta localización. Permite distinguir fácilmente los dos componentes principales del oído (hueso, de máxima densidad, y aire, de mínima densidad), así como las estructuras de densidad intermedia entre ambos, que se corresponderían con partes blandas (ej. tímpano, nervio facial, etc). La reconstrucción coronal en el oído permite un estudio más completo de la localización de las posibles alteraciones anatómicas debido a la complejidad estructural de este aparato.

HALLAZGOS 1:

Haz click en las imágenes para verlas ampliadas