Cargando pagina por favor espere...

  Inicio   |   Contactar   |   Aviso legal  
     

Caso 13

     
 

Autor:

 

Javier López Sánchez

 

 

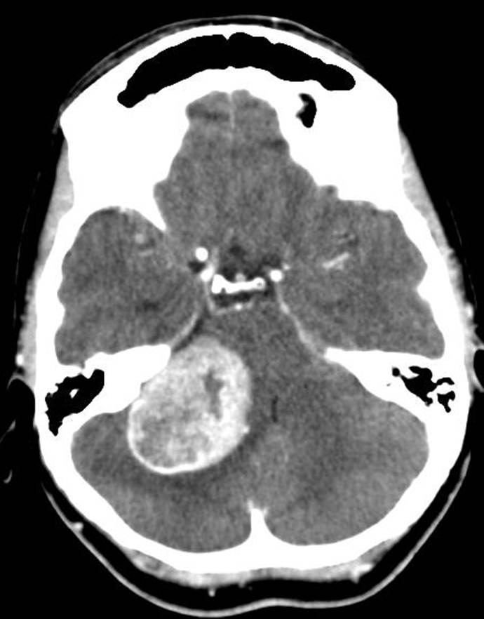
La TC craneal es una técnica no invasiva, sin efectos lesivos (salvo por la radiación absorbida por el usuario), que requiere poca colaboración del paciente (a diferencia de la Rx en que pequeños movimientos causan grandes distorsiones, la TC por sus secuencias rápidas y múltiples minimiza estas distorsiones) a la vez que nos brinda abundante información del cráneo, espacio extraaxial y parénquima del encéfalo. Pero sobre todo la TC es rápida y tiene una alta disponibilidad. Ante una situación de déficit neurológico, como la que se nos presenta, la TC está indicada como la técnica de elección. Además, se solicita un estudio con contraste para realzar lesiones, dado que la exploración clínica pone nos sobre sospecha de alguna lesión de tipo masa.

Haz click en las imágenes para verlas ampliadas