Cargando pagina por favor espere...

  Inicio   |   Contactar   |   Aviso legal  
     

Caso 57

     
 

Autor:

 

Umberto Rega

 

 

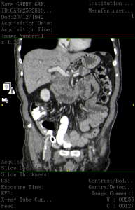
El TC de abdomen es una prueba de gran importancia a la hora de tomar decisiones en el tratamiento, sobre todo para valorar la posibilidad de cirugía. También resulta muy útil para conocer la extensión del tumor a órganos vecinos y la afectación o no de los ganglios linfáticos. Dura aproximadamente 20 – 30 minutos, y no provoca dolor. Aunque es necesario que la persona permanezca inmóvil sobre la camilla del escáner durante su realización.

Haz click en las imágenes para verlas ampliadas

 

Que te planteas como diagnostico mas probable?