Cargando pagina por favor espere...

  Inicio   |   Contactar   |   Aviso legal  
     

Caso 47

     
 

Autor:

 

Micaela Ana Llamas Sarriá/Marta Crespo González/Pedro Fuentes Gómez

 

 

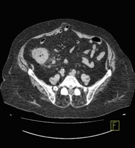
El estudio complementario que pediríamos sería un TAC abdominal simple, ya que nos proporciona una gran cantidad de información, es sencillo y rápido de realizar a la paciente, y como no sabemos con exactitud lo que le ocurre es lo más apropiado para obtener más información y averiguar lo que le sucede a la paciente. El estudio de tránsito no estaría indicado porque no presenta signos de alteración de la motilidad o tránsito.

Haz click en las imágenes para verlas ampliadas