Cargando pagina por favor espere...

  Inicio   |   Contactar   |   Aviso legal  
     

Caso 46

     
 

Autor:

 

María Elena García Alba/Rebeca García-Villalba Parra

 

 

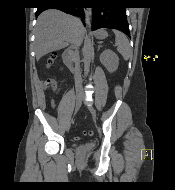
La TAC presenta mayor sensibilidad y especificidad (94 y 95% respectivamente) que la ecografía (86 y 81% en cada caso). Además se considera la prueba de elección en pacientes con obesidad importante.

Haz click en las imágenes para verlas ampliadas