Cargando pagina por favor espere...

  Inicio   |   Contactar   |   Aviso legal  
     

Caso 42

     
 

Autor:

 

M. Ángeles Cerezuela Abarca / Carmen Miquel López

 

 

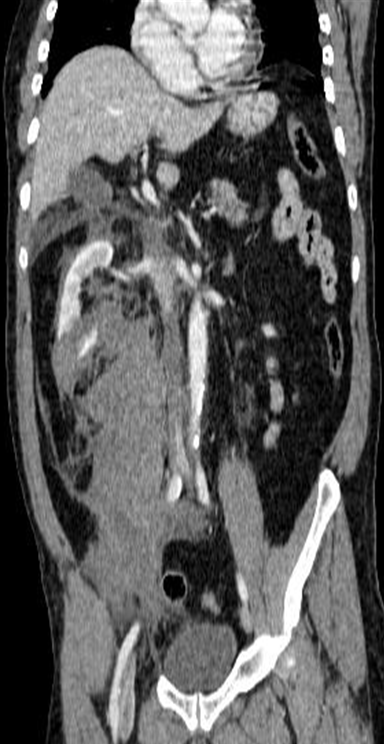
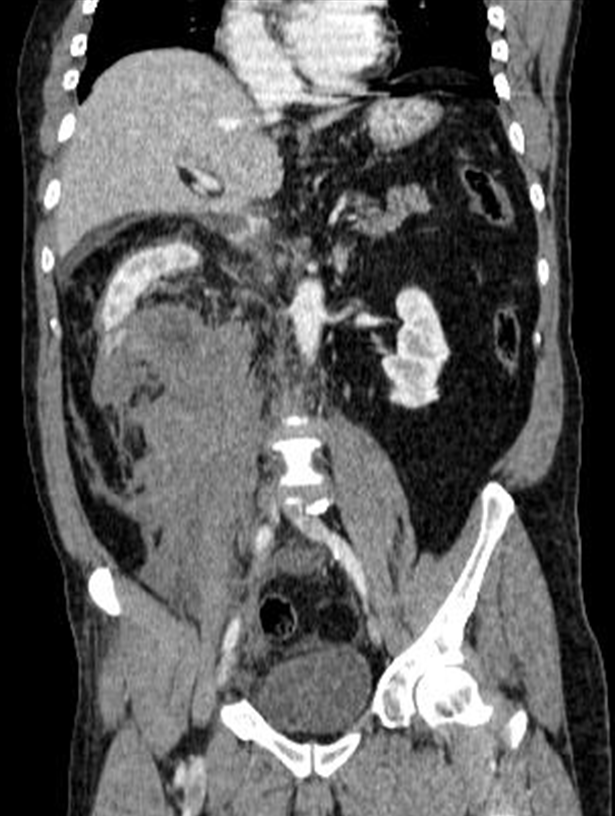
En este caso, se indica reconstrucción multiplanar del TC realizado, en la que se ve más claramente la laceración del polo renal inferior derecho y la expansión del hematoma perirrenal (riñón derecho).

Haz click en las imágenes para verlas ampliadas