Cargando pagina por favor espere...

  Inicio   |   Contactar   |   Aviso legal  
     

Caso 30

     
 

Autor:

 

Silvia Giangrandi

 

 

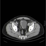
Efectivamente hay que hacer un URO-TC, que es un examen diagnóstico optimizado para estudiar riñones, uréteres y vejiga mediante TC multidetector empleando cortes finos, contraste IV y que incluye siempre una fase excretora, así que permite evaluar la fase portal y la fase excretora (8 minutos después de la suministración del contraste). (1,2)

Haz click en las imágenes para verlas ampliadas

 

¿Qué hallazgo patológico se aprecia en las imágenes?