Cargando pagina por favor espere...

  Inicio   |   Contactar   |   Aviso legal  
     

Caso 29

     
 

Autor:

 

Alba Quiles Hevia

 

 

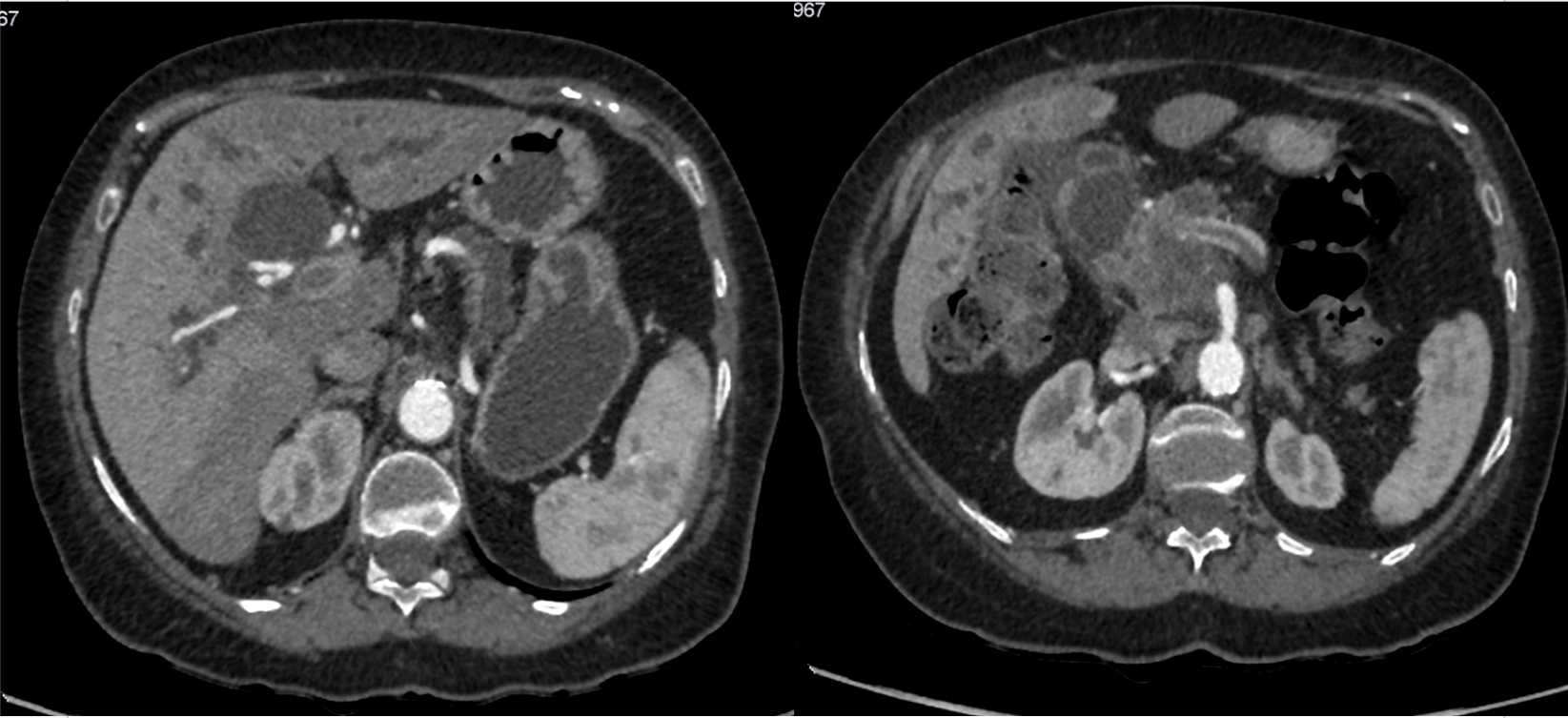
Ante la elevada sospecha de cáncer de páncreas el siguiente paso sería confirmarlo y estadificar el tumor, para ello el estándar de referencia es el TAC. La RM tiene mayor sensibilidad en caso de tumores pequeños y en la valoración de enfermedad a distancia. El PET no ha demostrado utilidad en la estadificación del carcinoma de páncreas, tan solo se usa para la valoración de metástasis en localizaciones insospechadas o bien para el seguimiento tras la cirugía.

Haz click en las imágenes para verlas ampliadas