Cargando pagina por favor espere...

  Inicio   |   Contactar   |   Aviso legal  
     

Caso 15

     
 

Autor:

 

Ángela Pascual Zamora

 

 

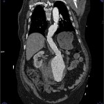
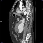
Para valorar la afectación en longitud la mejor prueba para hacerlo es la reconstrucción (MRP) , en planos sagital y coronal. Con las imágenes obtenidas en el TAC se hace una reconstrucción de todas obteniendo una imagen en un plano sagital y coronal. Con esta vista podemos ver la longitud y el diámetro exacto de la rotura del aneurisma y de de las zonas afectadas.

En la reconstrucción (MRP) en planos sagital y coronal se obtienen las siguientes imágenes:

Haz click en las imágenes para verlas ampliadas