Cargando pagina por favor espere...

  Inicio   |   Contactar   |   Aviso legal  
     

Caso 03

     
 

Autor:

 

Gonzalo Rubio Mora

 

 

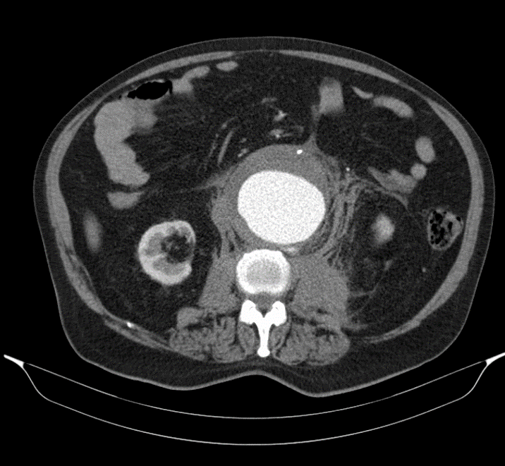
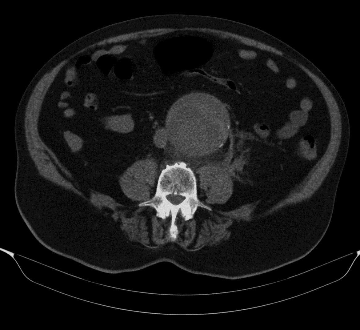
En caso de no haber hallazgos claros de patología abdominal que expliquen el dolor en la primera prueba realizada, que normalmente será una ecografía, se debe realizar una TC. Esta es la estrategia que más sensibilidad tiene, con menor dosis de radiación acumulada en el paciente [1]. Además, la TC es la prueba que más sensibilidad tiene en el abdomen [1]

En este caso se realiza una TC y no una ecografía porque la primera prueba de imagen ha dado hallazgos sugestivos de la patología que tiene el paciente y que causa el dolor. Como la TC es el paso lógico a dar en esta patología y la ecografía no aportará información añadida, no se pierde tiempo con ella.

Haz click en las imágenes para verlas ampliadas