Cargando pagina por favor espere...

  Inicio   |   Contactar   |   Aviso legal  
     

Caso 79

     
 

Autor:

 

Hasna Farah-Addine Lourhmati

 

 

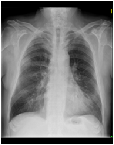
Como primer estudio, normalmente, se realiza un estudio mediante RX para poder observar los campos pulmonares y descartar lesiones evidentes. Sin embargo, en este caso, al haberse realizado ya una RX, se solicita un TC sin contraste para poder observar con detalle el parénquima pulmonar y detectar lesiones en éste.

Haz click en las imágenes para verlas ampliadas

HALLAZGOS

-Nódulo pulmonar de 2,9 x 2,8 cm,hipodenso, polilobulado, bien definido y de base pleural, probablemente infiltrativo de grasa subpleural.

-Ateromatosis aórtica calcificada. Arterias coronarias: DEA y circunfleja con calcificaciones.

-En cuanto al mediastino, se ven adenopatías de morfología ovoide en región paratraqueal, probablemente malignas. Numerosas adenopatías, algunas de menor tamaño.

-Se detectan ganglios en abdomen, cerca de aorta, aunque no cumplen criterios radiológicos de malignidad.