Cargando pagina por favor espere...

  Inicio   |   Contactar   |   Aviso legal  
     

Caso 71

     
 

Autor:

 

Mireia Isabel García Ramírez

 

 

DIAGNÓSTICO FINAL

DIAGNÓSTICO FINAL: Neumonía en la base pulmonar izquierda.

En la neumonía lobar se produce una ocupación del espacio aéreo pulmonar, generalmente por un exudado inflamatorio, de forma que aumenta su densidad en la Rx, dando el patrón conocido como patrón alveolar. La lesión va a tener bordes mal definidos, aunque va a estar establecida en uno de los lóbulos.

La radiografía de tórax PA y lateral es el estudio de elección para el diagnóstico y evaluación de los pacientes, ya que permite confirmar el diagnóstico clínico y establecer su localización, extensión y gravedad, además permite diferenciar la neumonía de otras patologías, detectar posibles complicaciones.

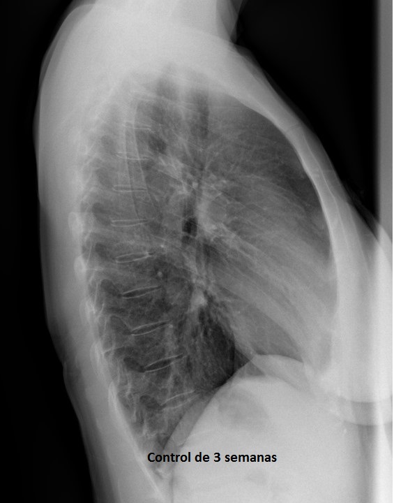
En este caso, a la paciente se le realizó una placa de control a las 3 semanas, en la que no había persistencia de neumonía, por lo que se considera recuperada. En otros casos, donde la patología persiste tras el tratamiento preciso y donde haya factores de riesgo (consumo de tabaco, sospecha de neumoconiosis o fibrosis pulmonares), se plantea realizar otro tipo de técnicas de imagen, como TAC, para conocer la patología subyacente, subyacente, siendo las bronquiectasias y los tumores causa frecuente de condensaciones pulmonares que no se resuelven.

Haz click en las imágenes para verlas ampliadas

 

 

BIBLIOGRAFÍA

1.

Goodman LR. Felson. Principios de radiología torácica. 3ª Edición. Madrid: McGraw-Hill; 2007

2.

Gil R, Fernández P, Sabbagh E. Diagnóstico clínico-radiológico de la neumonía del adulto adquirida en la comunidad. Rev Chil Infect 2005; 22 (Supl 1): S26-S31.

3.

Coronado G, Prieto MC, Hincapié JA. Principales patrones radiológicos en la placa simple de tórax: una visión radiológica y macroscópica. [monografía en internet]. Sevilla: SERAM 2014. [citado 16 May 2016] Disponible en: http://posterng.netkey.at/esr/viewing/index.php?module=viewing_poster&task=viewsection&pi=123408&ti=410426&searchkey

Finalizar