Cargando pagina por favor espere...

  Inicio   |   Contactar   |   Aviso legal  
     

Caso 58

     
 

Autor:

 

Elodia Teresa Bernabeu Serrano

 

 

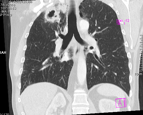
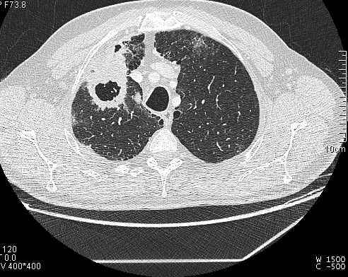
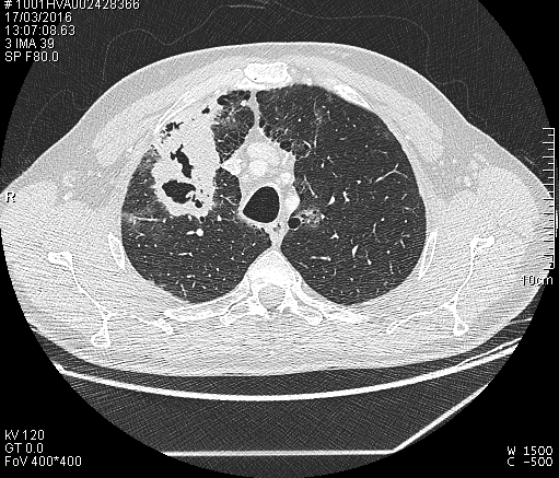
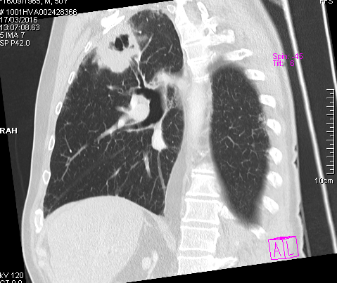
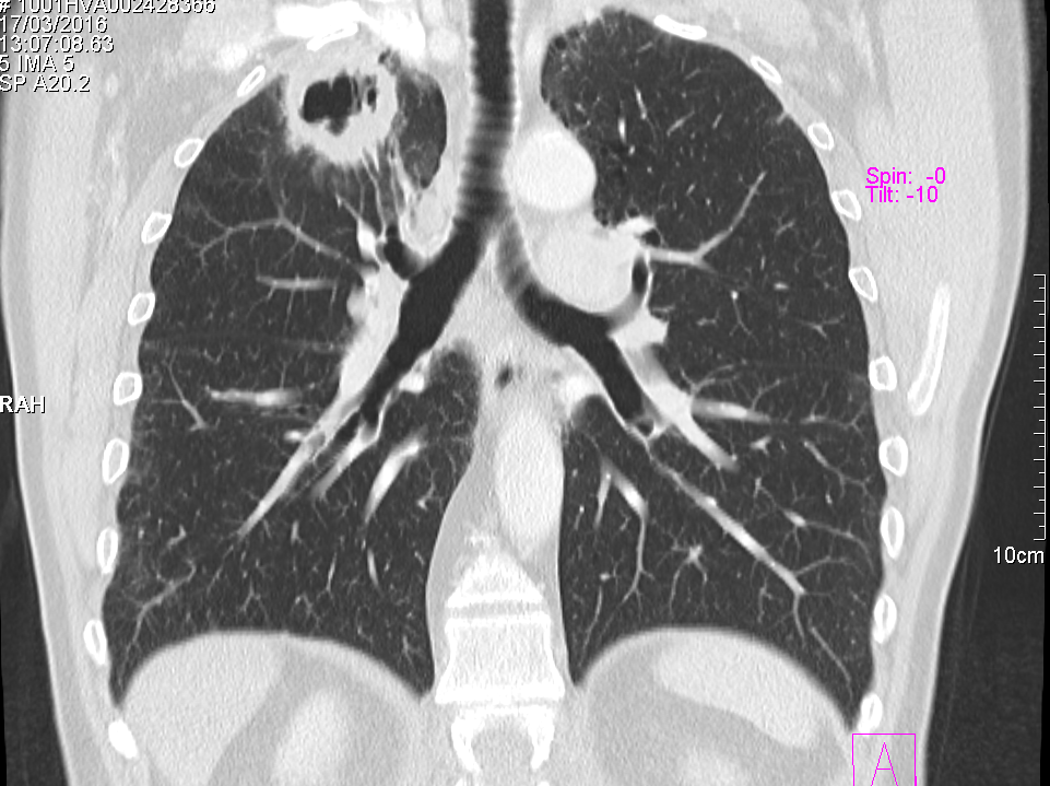
Obtenemos las siguientes imágenes en distintos planos:

Haz click en las imágenes para verlas ampliadas

Vemos que la estructura cavitada posee una pared muy gruesa, más típica de un proceso neoplásico, y una cavidad hipodensa. Confirmamos su localización en el lóbulo superior derecho y anterior. Descartamos proximidad a vasos y estructuras mediastinicas, así como invasión de la pared torácica. Y lo mas importante es que apreciamos que el bronquio principal mas proximal a la masa cavitada, el bronquio anterior del lóbulo superior derecho, se encuentra amputado cuando llega a la masa y no comunica con la cavidad del interior de la masa,

 

¿Cuál sería el posible diagnóstico final de esta enfermedad?