Cargando pagina por favor espere...

  Inicio   |   Contactar   |   Aviso legal  
     

Caso 57

     
 

Autor:

 

Olga Rosa Oliveira de Carvalho

 

 

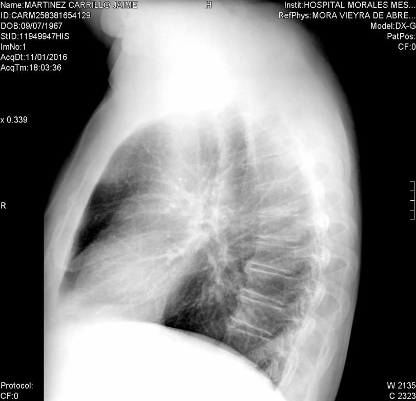
La primera prueba diagnóstica a realizar en un paciente que acude con esta sintomatología es la radiografía de tórax en dos proyecciones: posteroanterior y lateral, en inspiración máxima. Se trata de una prueba poco costosa que le supone poca radiación al paciente y que es sensible a los cambios morfológicos que puedan existir.

Haz click en las imágenes para verlas ampliadas