Cargando pagina por favor espere...

  Inicio   |   Contactar   |   Aviso legal  
     

Caso 55

     
 

Autor:

 

Raffaele Raimondi

 

 

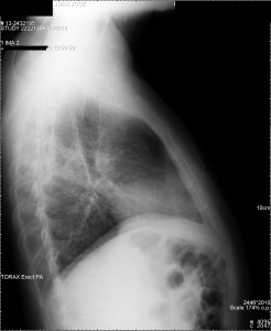
La radiografia de tórax posteroanterior (PA) y lateral(L) es una herramienta fundamental en la detección y diagnóstico de enfermedades en el tórax y continúa siendo utilizada en la evaluación inicial del paciente. Nunca hay que mirar solo la PA, porque en esta hasta un 25% del parénquima pulmonar está oculto por el mediastino, la silueta cardiovascular y los diafragmas por lo que hay veces que la anormalidad puede ser detectada únicamente en la RL.

La TAC no sería la técnica de elección ya que la radiación es mucho mayor que la de una radiografía.

La RM tiene un coste muy elevado y una larga duración. La ecografía de tórax no es de primera elección y su uso es debatido.

Haz click en las imágenes para verlas ampliadas