Cargando pagina por favor espere...

  Inicio   |   Contactar   |   Aviso legal  
     

Caso 50

     
 

Autor:

 

Pablo Alcón Cerro/ Adrián Béjar Caballero/ Miriam Belando Consuegra

 

 

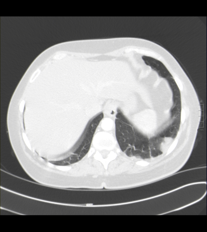
Múltiples defectos de repleción indicativos de tromboembolismo pulmonar, bilateral que afecta a ramas principales de ambas arterias pulmonares y a varias lobares y segmentarias del lóbulos superiores e inferiores.

En cortes inferiores encontramos estos hallazgos:

Haz click en las imágenes para verlas ampliadas