Cargando pagina por favor espere...

  Inicio   |   Contactar   |   Aviso legal  
     

Caso 49

     
 

Autor:

 

Pablo Alcón Cerro/ Adrián Béjar Caballero/ Miriam Belando Consuegra

 

 

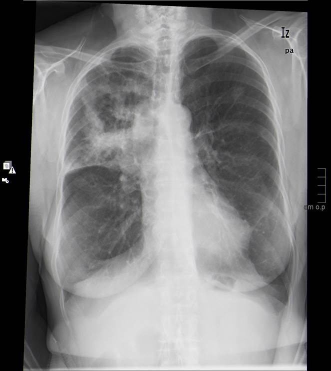
Se realiza rx simple de tórax como primer método diagnóstico ante síndrome respiratorio, dada su rapidez y economía así como su utilidad para descartar muchos procesos ya que da mucha información. Cabe remarcar el papel de la rx simple de tórax, junto con la historia clínica y la exploración, como la prueba básica para el diagnóstico de enfermedades respiratorias.

Haz click en las imágenes para verlas ampliadas