Cargando pagina por favor espere...

  Inicio   |   Contactar   |   Aviso legal  
     

Caso 49

     
 

Autor:

 

Pablo Alcón Cerro/ Adrián Béjar Caballero/ Miriam Belando Consuegra

 

 

En el estudio de TC torácico se aprecia una masa hiliar superior derecha, de unos 4 x 5 cm, que se extiende hacia LSD, con zona de consolidación, necrosis y cavitación indicativa neoplasia de pulmón con neumonitis cavitada periférica en LSD, con bloques adenopáticos, de hasta 3 cm paratraqueales superiores pretraqueales con afectación también a nivel subcarinal.

No se observa derrames pleural, ni pericardico.

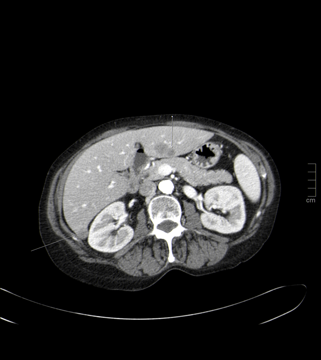
En cortes inferiores, se encuentra otro hallazgo relevante y que corrobora el diagnóstico:

Haz click en las imágenes para verlas ampliadas