Cargando pagina por favor espere...

  Inicio   |   Contactar   |   Aviso legal  
     

Caso 45

     
 

Autor:

 

Julia Araújo de Castro Peixoto

 

 

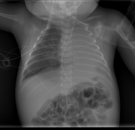
Realizamos RX de tórax porque es una prueba fácil, barata, rápida y que aporta mucha información en la patología pulmonar.

El niño presenta hipoxia y deterioro del nivel de conciencia por lo que se decide proceder con una intubación y se realiza una nueva placa de tórax:

Haz click en las imágenes para verlas ampliadas