Cargando pagina por favor espere...

  Inicio   |   Contactar   |   Aviso legal  
     

Caso 42

     
 

Autor:

 

Veronica Cavallo

 

 

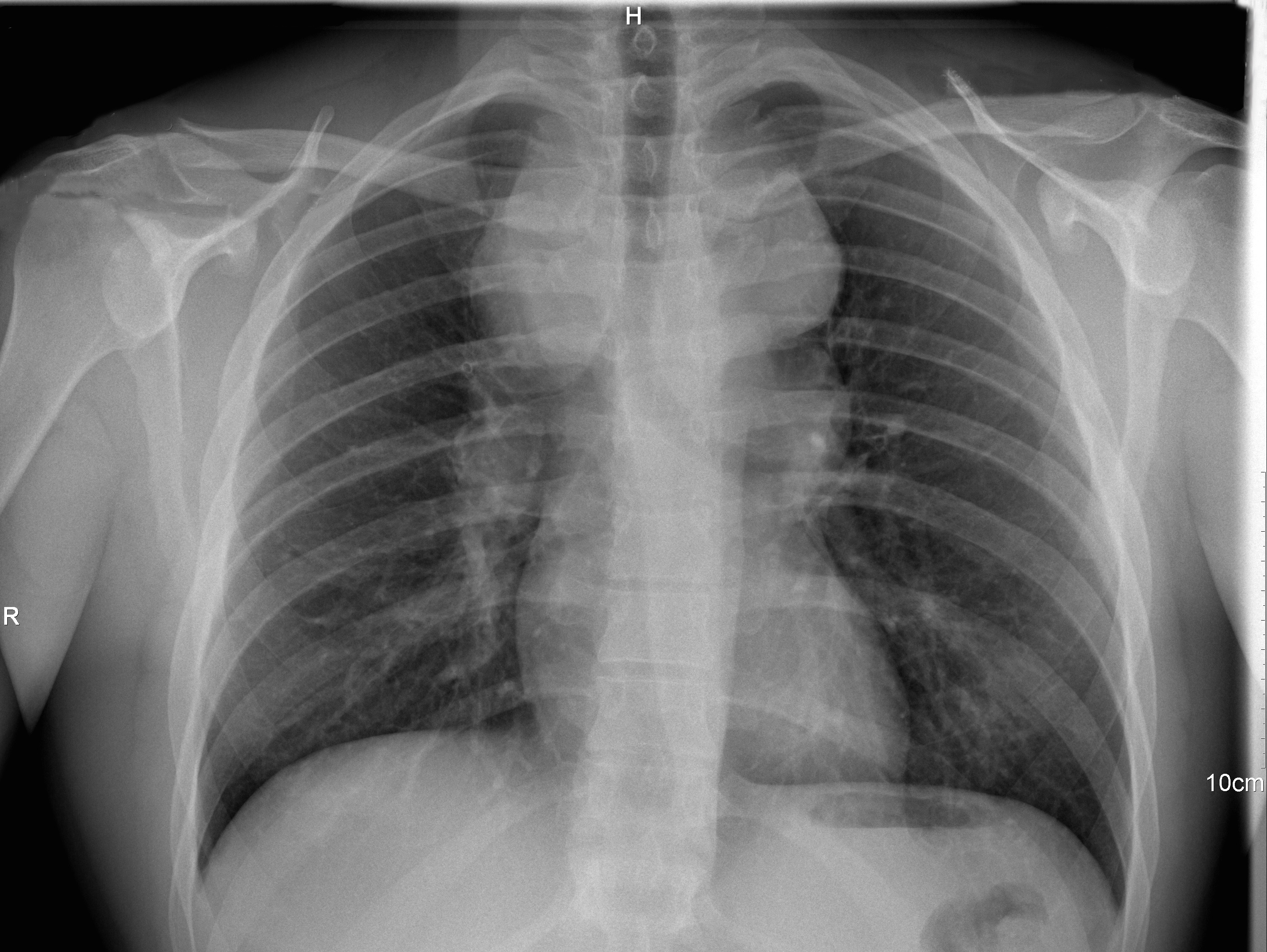
Se utiliza la radiografía simple de tórax que es la técnica de elección en estos casos porque se trata de una prueba rápida, sencilla y muy accesible, que expone al paciente a una dosis minima de radiación (en comparación con la TAC).

Haz click en las imágenes para verlas ampliadas