Cargando pagina por favor espere...

  Inicio   |   Contactar   |   Aviso legal  
     

Caso 41

     
 

Autor:

 

Carmen Pouget Sastre

 

 

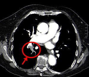
El angio-TC de arterias pulmona rerevela una trombosis en arterias pulmonares que afectan a diversas arterias del LSD. También hallamos bronquiectasia retráctil del LSD. No se observan nódulos ni infiltrados pulmonares. No hay tampoco derrame pleural ni infartos pulmonares.

Haz click en las imágenes para verlas ampliadas