Cargando pagina por favor espere...

  Inicio   |   Contactar   |   Aviso legal  
     

Caso 37

     
 

Autor:

 

Juan Martínez Celdrán

 

 

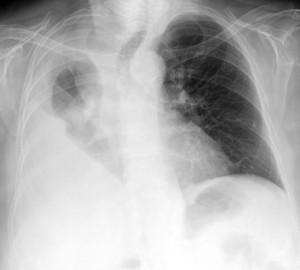
Ante un paciente que acude a urgencias y presenta síntomas y signos de patología torácica está indicada la realización de una placa simple de tórax. Es una prueba sencilla y rápida y que además aporta mucha información. Con ella, se pone de manifiesto problemas respiratorias como derrames pleurales o atelectasias, cardiacos como una hipertrofia de ventrículos, mediastínicos (masas, neumomediastino), así como patología ósea de las costillas y las vértebras.

Haz click en las imágenes para verlas ampliadas