Cargando pagina por favor espere...

  Inicio   |   Contactar   |   Aviso legal  
     

Caso 27

     
 

Autor:

 

Belén Mª Martínez Mulero

 

 

DIAGNÓSTICO FINAL

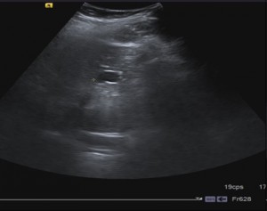
Puede observarse en la imagen un hígado de tamaño y ecogenicidad normales y la presencia de una LOE (Lesión Ocupante de Espacio) redondeada en relación con un quiste de 2 cm, que se corresponde con la lesión hipodensa descrita en el estudio del TAC.

Haz click en las imágenes para verlas ampliadas

DIAGNÓSTICO FINAL

Neoplasia pulmonar primaria estadio T4N3Mx (T4: Tumor que se extiende a estructuras cercanas; N3: metástasis en ganglios linfáticos hiliares; Mx: Metástasis en órganos distales no evaluadas).

NEOPLASIA PULMONAR PRIMARIA

Actualmente el cáncer de pulmón es la neoplasia maligna más frecuente y causante de un tercio de todas las muertes por cáncer, con un aumento de su incidencia en los últimos años debido sobre todo al consumo de tabaco, que constituye uno de los principales factores modificables a través de la prevención primaria.

Clásicamente se consideraba la edad, el sexo, la etnia y el tabaquismo como grandes factores predictivos del cáncer pulmonar. En la actualidad es conocida la relación entre el cáncer de pulmón y el hábito de fumar, especialmente en los canceres microcíticos y escamoso.

El cáncer de pulmón se puede dividir desde el punto de vista anatomopatológico, por su cuadro clínico y su respuesta al tratamiento en 2 grandes grupos: Carcinoma de pulmón de células pequeñas (20%) y Carcinoma de pulmón de células no pequeñas (80%).

Las vías de diseminación son la linfática, locorregional (por contigüidad) y la hemática, siendo el compromiso metastático el siguiente: ganglios, óseo, medula ósea, cerebro, hepático y suprarrenal.

 

 

BIBLIOGRAFÍA

1.

TAC: Tomografía Axial Computarizada. http://www.fisterra.com/salud/3proceDT/tac.asp

2.

http://www.cancer.org/espanol/cancer/cancerdepulmonnomicrocitico-celulasno/guiadetallada/cancer-de-pulmon-no-microcitico-celulas-no-pequenas-early-staging

3.

A. Pérez Pérez. Ecografía e hígado. Unidad de Diagnóstico Ecográfico. Hospital Nuestra Señora de La Esperanza (Santiago de Compostela). Grupo de trabajo de Ecografía de SEMERGEN: Coordinador Dr. N. Díaz Rodríguez. Vol. 29. Núm. 02. Febrero 2003

4.

http://ddd.uab.cat/pub/clivetpeqani/11307064v12n3/11307064v12n3p138.pdf.

5.

NEOPLASIA PULMONAR. REVISION DE DATOS CLINICOS, DIAGNOSTICOS Y TERAPEUTICOS. María Cristina Castillo, Gisela Jorgelina Mesch. Dr. Emilio Pablo Ignacio Benavente, Dra. Natalia Mabel Blanco. Revista de Posgrado de la VIa Cátedra de Medicina – N° 150 – Octubre 2005. Pág. 13-17 – http://med.unne.edu.ar/revista/revista150/5_150.htm

Finalizar