Cargando pagina por favor espere...

  Inicio   |   Contactar   |   Aviso legal  
     

Caso 20

     
 

Autor:

 

Marien Lisón Pérez/Mº Dolores Lizán Ballesta/Mº Isabel Jiménez Mascuñán

 

 

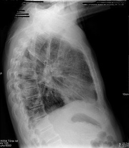
En efecto, la radiografía de tórax en proyecciones PA y lateral es la técnica de elección. La radiografía de tórax es el estudio inicial a realizar en todos los pacientes con sospecha de enfermedades respiratorias. Además, es una prueba muy accesible, de bajo coste e ideal para orientar el diagnóstico en este caso.

Haz click en las imágenes para verlas ampliadas

Un mes después tenemos las siguientes imágenes radiológicas:

Haz click en las imágenes para verlas ampliadas