Cargando pagina por favor espere...

  Inicio   |   Contactar   |   Aviso legal  
     

Caso 10

     
 

Autor:

 

Adrián Lorencio Sánchez

 

 

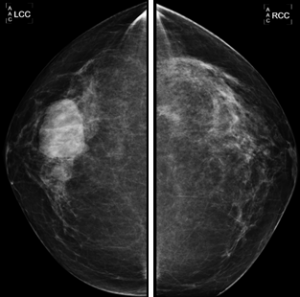
Las mamografías diagnósticas se realizan en mujeres con más de 30 años o cuando existe alto riesgo de enfermedad mamaria. La ecografía estaría más indicada en mujeres menores de 30 años.

Imágenes de la mamografía:

Haz click en las imágenes para verlas ampliadas