Cargando pagina por favor espere...

  Inicio   |   Contactar   |   Aviso legal  
     

Caso 01

     
 

Autor:

 

Carmen Tudela Ataz

 

 

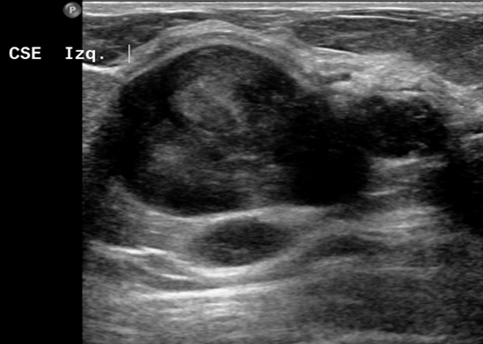
La técnica complementaria de elección es la ecografía, ya que la mamografía es incapaz de distinguir si el contenido del nódulo es líquido o sólido. Gracias a la ecografía podemos dirigir a tiempo real una biopsia por agujar gruesa (BAG).

La BAG ecoguiada está indicada en casos de masas sólidas de tal manera que la biopsia confirme: 1)la benignidad de una lesión de baja sospecha de malignidad en la mamografía, 2)para confirmar la malignidad de una lesión altamente sospechosa antes de planificar el tratamiento quirúrjico, 3)para evaluar cualquier lesión relevante en la mamografía cuando el seguimiento radiológico o la extirpación son opciones menos deseables.

Al realizar la ecografía obtenemos esta imagen:

Haz click en las imágenes para verlas ampliadas