| |
|
|
Caso 02 |
|
|
|
| |
Autor: |
|
Álvaro Cerezuela Fernández de Palencia |
|
|
DIAGNÓSTICO FINAL |
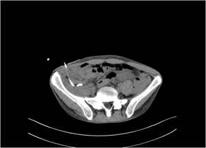
Comentario: en este paciente se inició la colocación del drenaje guiandolo por eco ya que es la primera elección (no radiación y misma accesibilidad), pero el paciente a pesar de la anestesia local presentaba mucho dolor y terminó moviendose durante la intervención, sacando el drenaje de la colección. Ante este contratiempo se decidió guiarlo por TC. A continuación, muestro imágenes de la intervención guiado por eco y por TC. Pero debe quedar claro que la primera opción para guiar el drenaje es la eco debido a que es menos perjudicial para el paciente.
Haz click
en las imágenes para verlas ampliadas
|
|
BIBLIOGRAFÍA |
|
1. |
Medina, J. F., & Vivas, V. H. (2004). Absceso del psoas: revisión de la literatura y estado actual. Rev Col Cir, 19(3), 181-189. |
|
2. |
Pérez-Romero, J. L., García, P. S., Pérez-Romero, M. L., & Belmonte, M. Á. (2011). Absceso de Psoas. Revista Clínica de Medicina de Familia, 4(1), 76-78. |
|
3. |
Tabrizian P, Nguyen SQ, Greenstein A, Rajhbeharrysingh U, Divino CM. Management and treatment of iliopsoas abscess. Arch Surg. 2009;144:946-9. |
|
4. |
Penado S, Espina B, Francisco Campo J. Absceso de psoas. Descripción de una serie de 23 casos. Enferm Infecc Microbiol Clin. 2001;19:257-60. |
|

|