Cargando pagina por favor espere...

  Inicio   |   Contactar   |   Aviso legal  
     

Caso 34

     
 

Autor:

 

José Juan Parra García

 

 

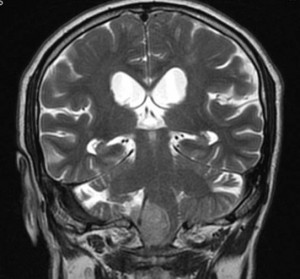
Ante una sospecha diagnóstica de algo patológico en lo que la imagen del TC no ha conseguido resolver nuestras dudas, realizamos una RM, en la que en T1 podremos ver mejor la estructura anatómica y en T2 podremos detectar la presencia de lesiones de diversa índole, sobre todo debido al edema del que se suelen acompañar.

Haz click en las imágenes para verlas ampliadas