Cargando pagina por favor espere...

  Inicio   |   Contactar   |   Aviso legal  
     

Caso 33

     
 

Autor:

 

Blanca Galindo Marqués

 

 

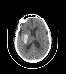
Un ictus es un trastorno de la circulación cerebral que ocasiona una alteración transitoria o definitiva del funcionamiento de una o varias partes del cerebro. Un ictus puede ser hemorrágico o isquémico. Lo primero que tenemos que hacer es descartar ante qué tipo de ictus estamos, isquémico o hemorrágico. Podríamos usar una tomografía axial computorizada o TAC y la resonancia magnética o RM. La principal ventaja del TAC sobre la RM amplia disponibilidad, rapidez. Además de detectar la hemorragia, la TC permite detectar signos precoces del infarto (hipoperfusión y edema) y el diagnóstico diferencial con otras lesiones como neoplasias.

Haz click en las imágenes para verlas ampliadas