Cargando pagina por favor espere...

  Inicio   |   Contactar   |   Aviso legal  
     

Caso 28

     
 

Autor:

 

Amina Dzenanovic

 

 

Haz click en las imágenes para verlas ampliadas

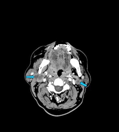
En la imagen radiológica se observan adenopatías bilaterales derechas en área II-III de 16 mm, observándose otras similares adyacentes. Se le realiza biopsia diagnosticando un carcinoma epidermoide de orofaringe.

DIAGNOSTICO FINAL: CARCINOMA DE OROFARINGE

Tratamiento: Una vez diagnosticado y estadificado el carcinoma epidermoide de orofaringe, se comienza tratamiento con radioterapia y cirugía.

Seguimiento: Posteriormente el paciente consulta por dolores óseos en región escapular derecha y en pelvis.

 

¿Qué prueba solicitaríamos en este caso?