Cargando pagina por favor espere...

  Inicio   |   Contactar   |   Aviso legal  
     

Caso 39

     
 

Autor:

 

Daniela Diana Mateiovici

 

 

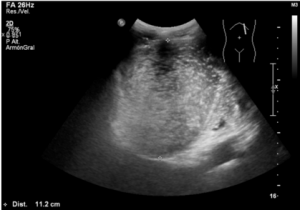
Junto con la radiografía simple de abdomen, la ecografía es el método de elección para el estudio de las patologías del aparato digestivo y genitourinario, siendo una técnica barata, disponible prácticamente en todos los centros y no invasiva, la cual no produce radiación ionizante. Por la sintomatología del paciente, en este caso, sería la prueba de elección.

Haz click en las imágenes para verlas ampliadas

 

¿Qué hallazgos patológicos encontramos en la ecografía?