Cargando pagina por favor espere...

  Inicio   |   Contactar   |   Aviso legal  
     

Caso 29

     
 

Autor:

 

Juan Carlos Díaz Martínez

 

 

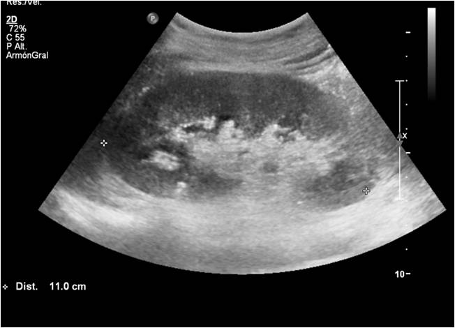
La ecografía Doppler permite el estudio del flujo de sangre a través de los vasos, pudiendo conocer su cantidad y velocidad en un momento concreto. Según la frecuencia de los ultrasonidos recaptados se interpreta si el flujo sanguíneo se acerca o se aleja del ecógrafo, y se le asignará un determinado color. Puesto que la paciente acude por HTA, elegimos la ecografía para descartar una posible causa renal.

Haz click en las imágenes para verlas ampliadas

Ecografía riñón izquierdo

Haz click en las imágenes para verlas ampliadas

Ecografía riñón derecho

Haz click en las imágenes para verlas ampliadas

ECO Doppler riñón izquierdo

Haz click en las imágenes para verlas ampliadas

ECO Doppler riñón derecho