Cargando pagina por favor espere...

  Inicio   |   Contactar   |   Aviso legal  
     

Caso 20

     
 

Autor:

 

Natalia Callejo Barcelona

 

 

DIAGNÓSTICO FINAL

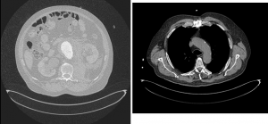
Efectivamente, esta imagen corresponde a una rotura de aneurisma de aorta abdominal ya que diferenciamos bien en el corte transversal una extravasación de contraste, hematoma retroperitoneal en el lado izquierdo y se realza la aorta y el trombo intramural en fase arterial.

Haz click en las imágenes para verlas ampliadas

Diagnóstico radiológico:

Hallazgos compatibles con rotura aguda de aneurisma infrarrenal con hematoma retroperitoneal.

Se le explica a los familiares (mujer e hijo) la extrema gravedad de la situación que presenta el paciente, por presentar un AAA 9.5 cm yuxtarrenal sin cuello con ruptura posterior, y las opciones terapéuticas, así como las posibles complicaciones derivadas de las mismas. Se le explica además la opción de tratamiento conservador paliativo Al paciente también se le explica la situación que presenta, entendiendo la posible evolución de la misma.

El paciente y familiares desean que sea intervenido, aceptando el elevado riesgo de éxitus que presenta.

Durante la intervención el paciente permanece con hipotensión terapeútica hasta el momento del clampaje suprarrenal, con mejoría hemodinámica. Se consigue realizar clampaje yuxtarrenal infrarrenal, y mantener la correcta perfusión de ambas renales durante el resto del procedimiento. Se realiza aneurismectomía e injerto recto 20×20 Ao yuxtarrenal-cono aórtico, pero el paciente presenta hipoperfusión cerebral, y posteriormente hipotensiones que no responden a drogas excepto bolos de adrenalina, con posterior fallo cardiaco tras el cierre abdominal.

El paciente es éxitus el 10/03/2016, a las 18:45 horas.

 

 

BIBLIOGRAFÍA

1.

Aneurisma aórtico abdominal. En http://www.medigraphic.com/pdfs/revmed/md-2012/md124g.pdf Fecha de acceso: Marzo, 2016

2.

Aneurisma de aorta abdominal y enfermedad vascular renal. En http://www.revespcardiol.org/es/aneurisma-aorta-abdominal-enfermedad-vascular/articulo/13107121/ Fecha de acceso: Marzo, 2016

3.

Signos TC sangrado. En http://www.seram2008.com/modules.php?name=posters&file=diapositivas&idpaper=770&idsection=2 Fecha de acceso: Marzo, 2016

4.

Apuntes Aparto Cardiovascular Grado de Medicina 4º curso 2013

Finalizar