Cargando pagina por favor espere...

  Inicio   |   Contactar   |   Aviso legal  
     

Caso 10

     
 

Autor:

 

Angela Hellin Ferez

 

 

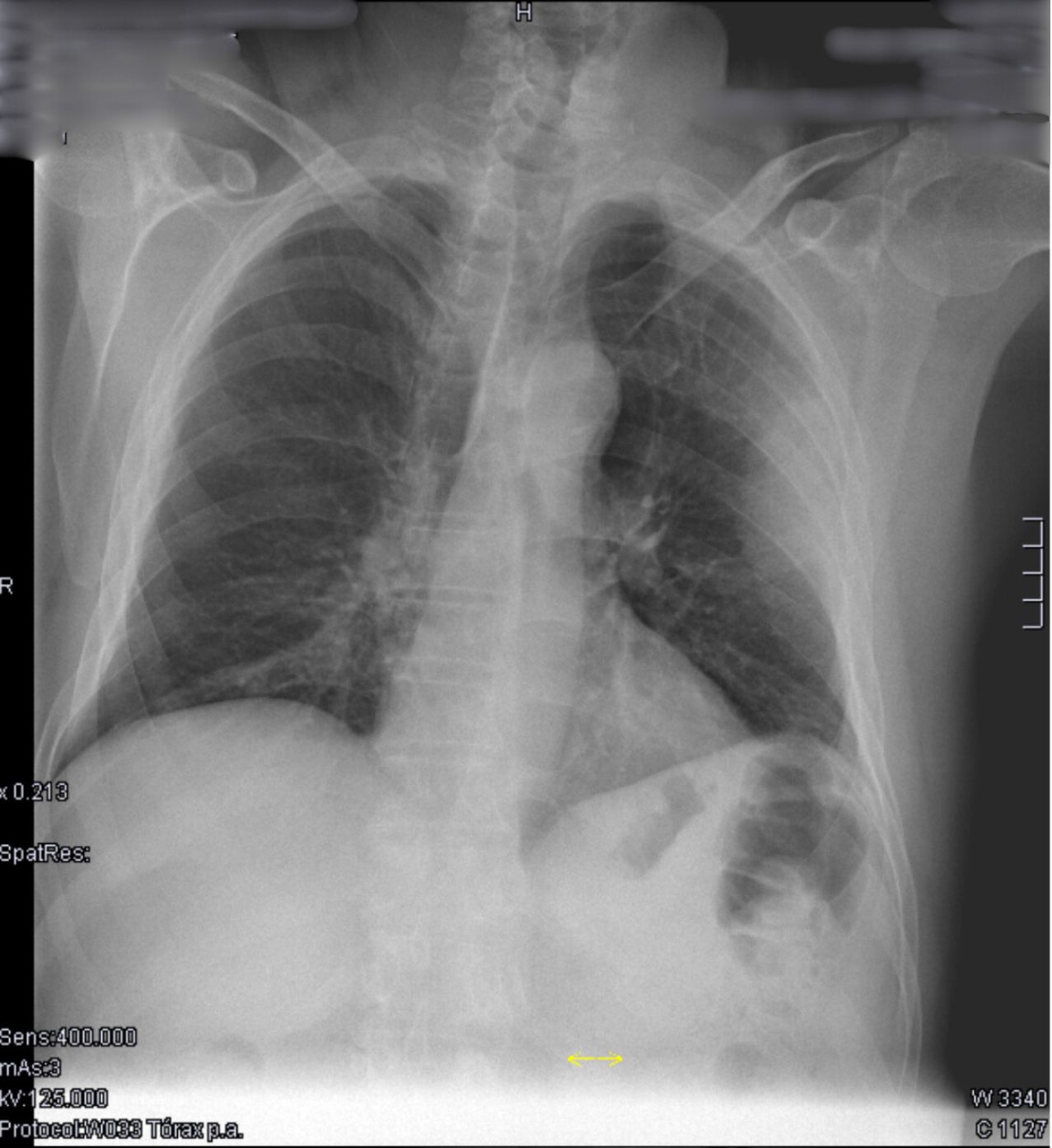
Rx PA de tórax

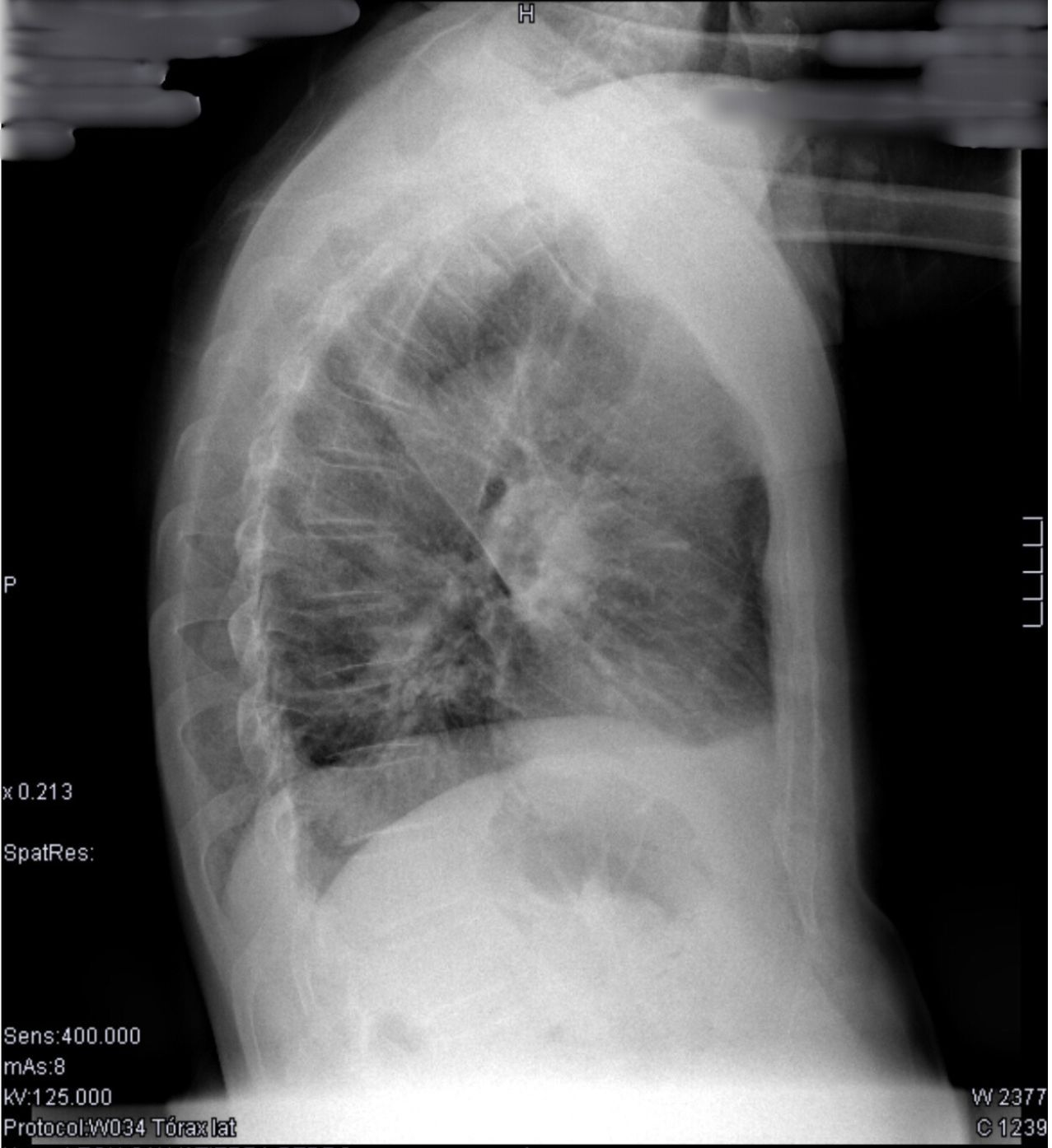
Rx L de tórax

Haz click en las imágenes para verlas ampliadas