Cargando pagina por favor espere...

  Inicio   |   Contactar   |   Aviso legal  
     

Caso 10

     
 

Autor:

 

Angela Hellin Ferez

 

 

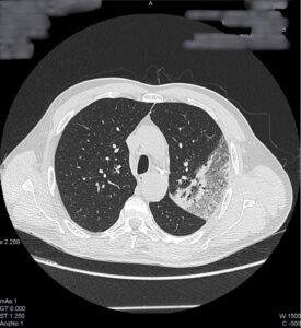
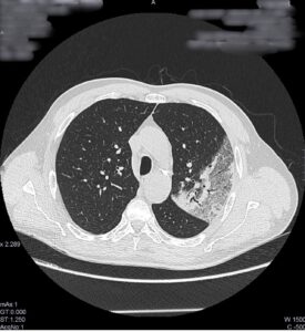
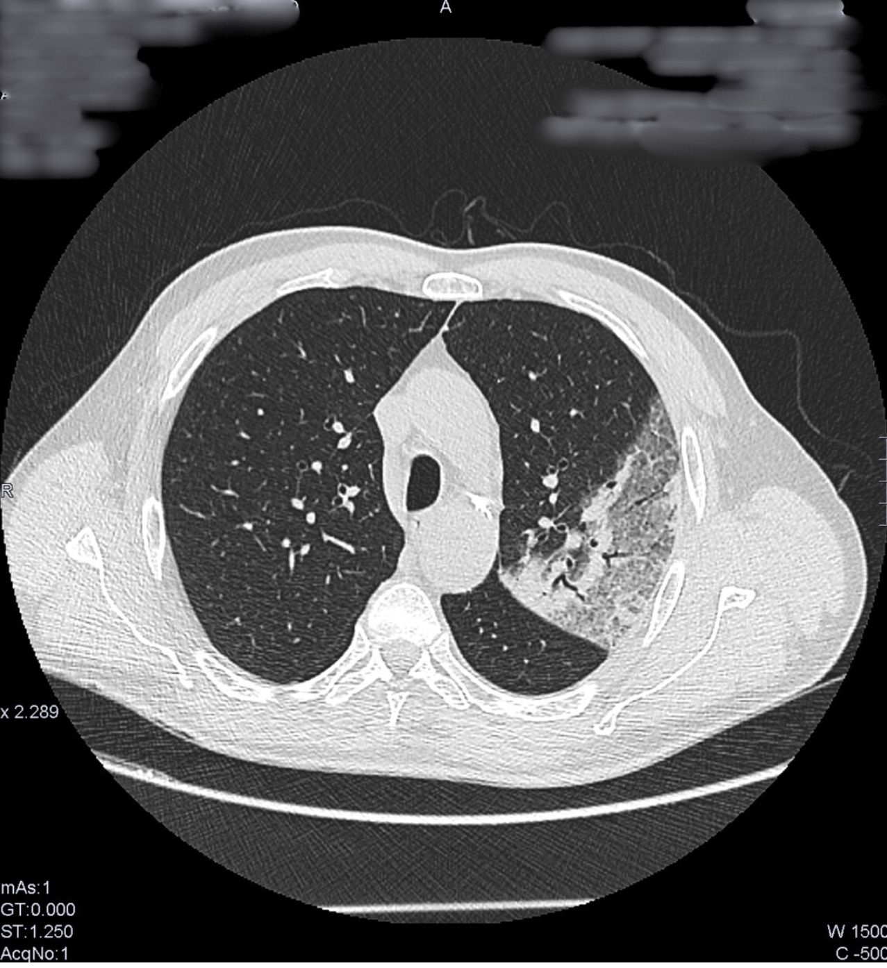
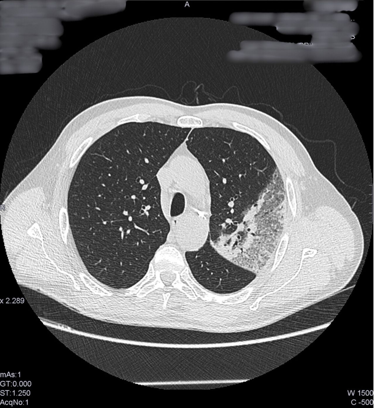
TC de tórax sin contraste intravenoso

Haz click en las imágenes para verlas ampliadas